096-288-6652 電話受付時間:平日10:00-19:00 / 土日9:30-18:00

24時間WEB予約

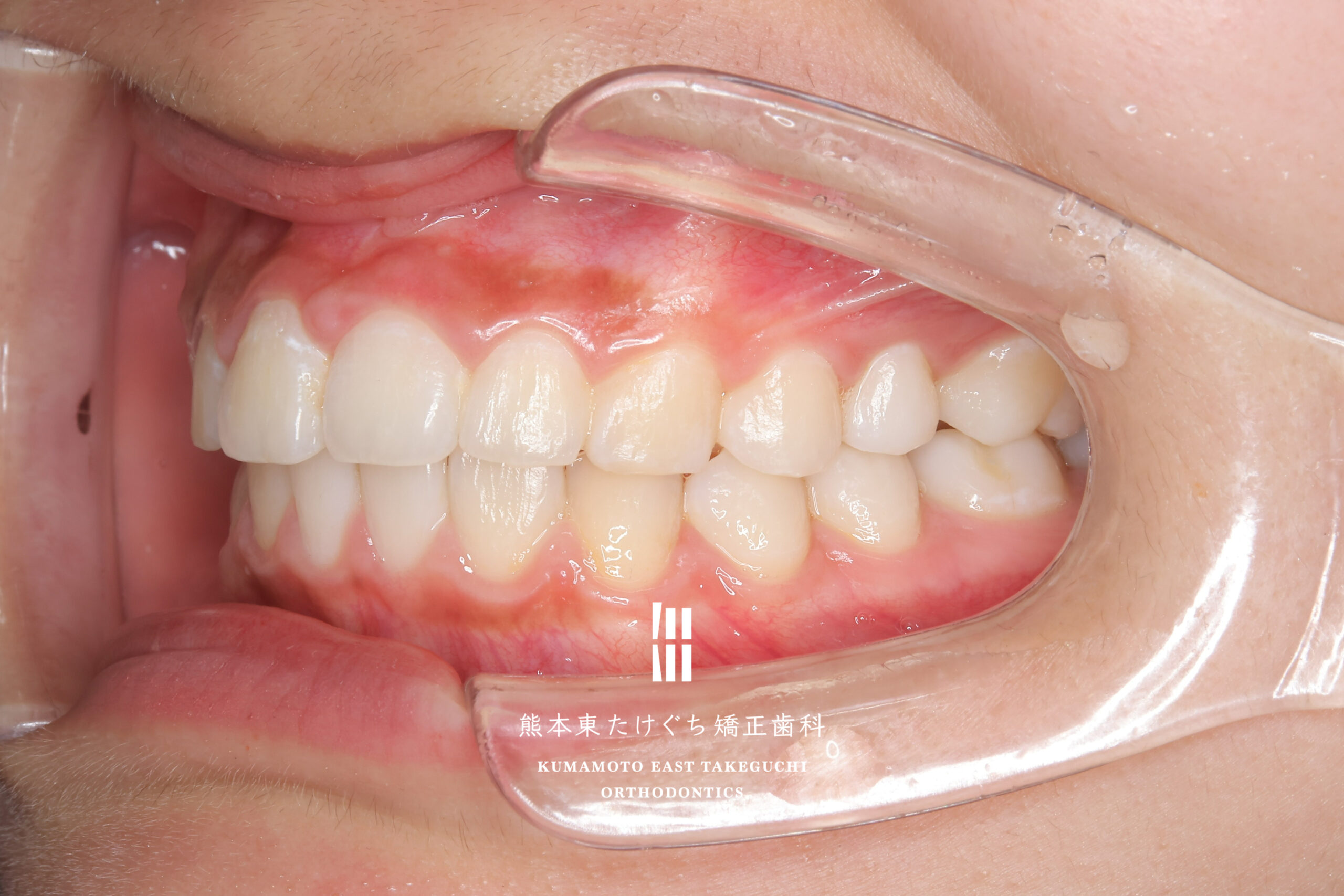
14歳女性 成人矯正 ガタガタ かみ合わせが深い

  • before

  • after

  • before

  • after

  • before

  • after

  • before

  • after

  • before

  • after

・年齢 : 14歳
・性別 : 女性

主訴 前歯の1本が奥に入ってしまっている
治療内容 叢生および過蓋咬合を改善するため、非抜歯で固定式ワイヤーを用いて治療しました。
治療期間・回数の目安 1年9ヶ月
治療費 矯正基本料金693,000円(税込)+保定装置作製料金33,000(税込)別途調整料金が必要となります。
リスク ・治療中は発音しにくい場合があります。
・矯正中、舌が動かしにくいことがあります。
・治療中、装置によってまれに頬の内側が傷つき、口内炎になることがあります。
・歯の移動に伴って違和感や痛みを感じる場合があります。
・冷たいものを飲んだときに歯がしみる「知覚過敏」の症状が出る場合があります。