096-288-6652 電話受付時間:平日10:00-19:00 / 土日9:30-18:00

24時間WEB予約

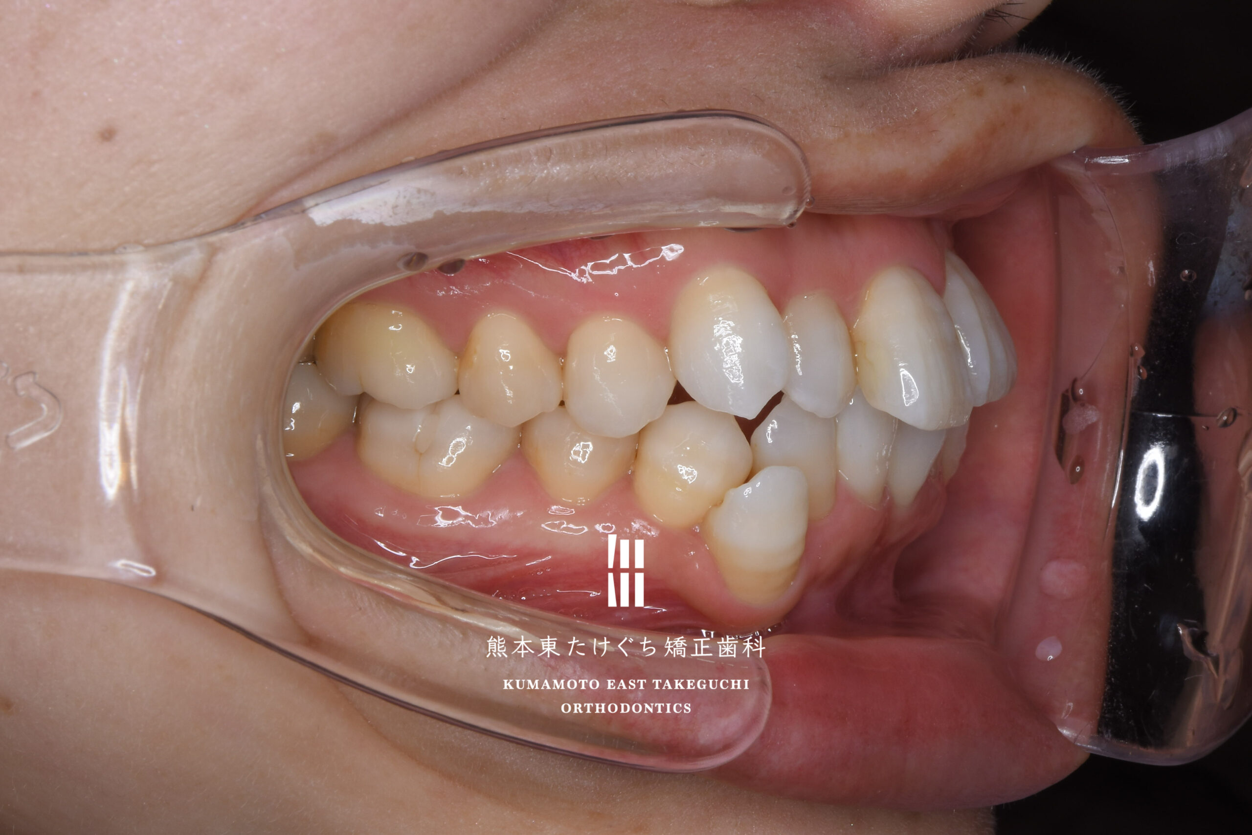
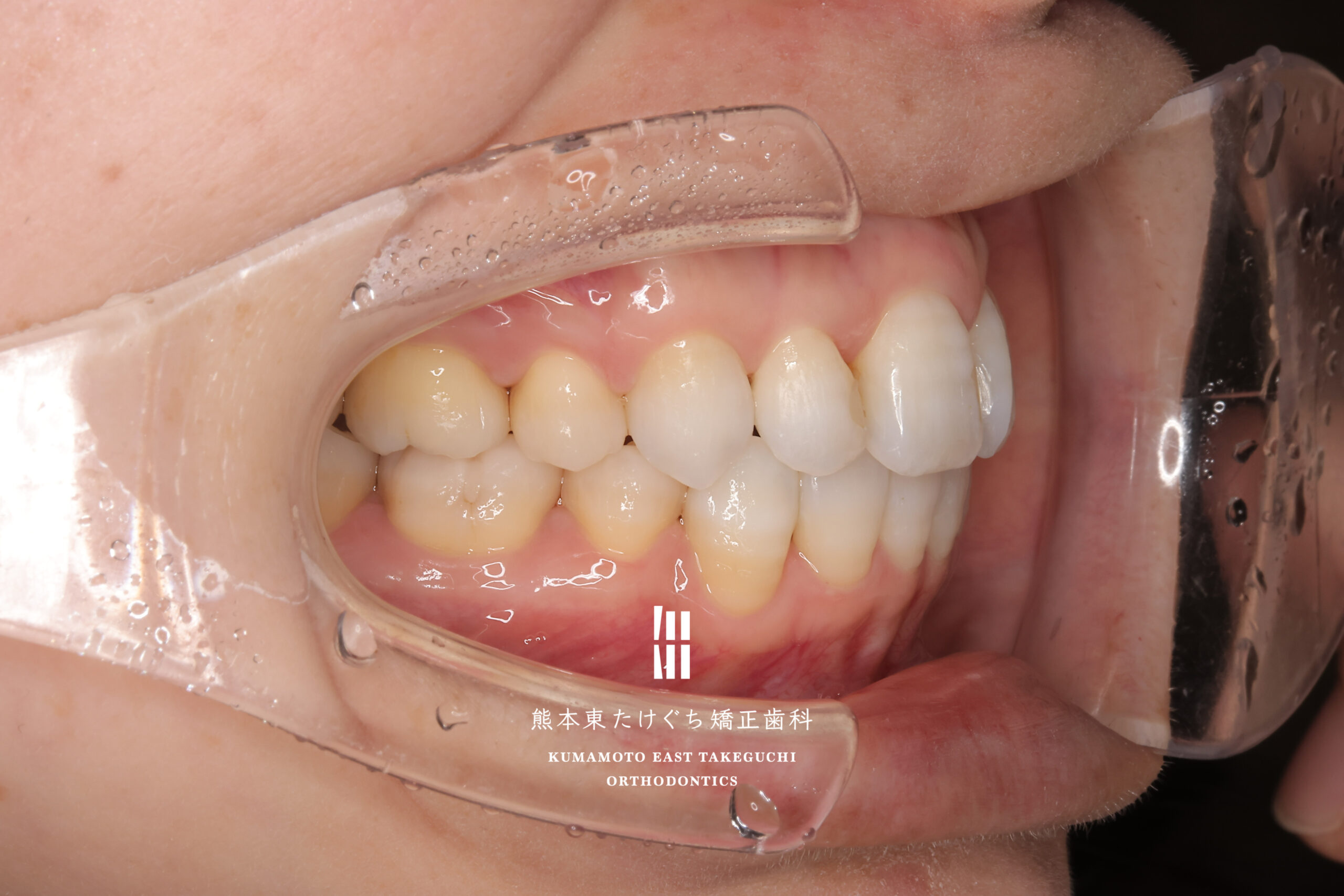
36歳女性 成人矯正 顎のズレ ガタガタ 出っ歯

  • before

  • after

  • before

  • after

  • before

  • after

  • before

  • after

  • before

  • after

・年齢 : 36歳
・性別 : 女性

主訴 下の犬歯と前歯が気になる
治療内容 正中線の偏位および叢生を伴う上顎前突を改善するため、上下左右の永久歯を合計4本抜歯し、固定式ワイヤー装置を用いて治療した。
治療期間・回数の目安 2年1ヶ月
治療費 矯正基本料金693,000円(税込)+保定装置作製料金33,000円(税込)別途調整料金が必要となります。
リスク ・治療中は発音しにくい場合があります
・矯正中、舌が動かしにくいことがあります
・治療中、装置によってまれに頬の内側が傷つき、口内炎になることがあります
・歯の移動に伴って違和感や痛みを感じる場合があります
・冷たいものを飲んだときに歯がしみる「知覚過敏」の症状が出る場合があります