096-288-6652 電話受付時間:平日10:00-19:00 / 土日9:30-18:00

24時間WEB予約

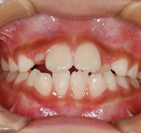
7歳女児 小児矯正 ガタガタ

  • 治療前

  • 治療後

・年齢 : 7歳
・性別 : 女性

主訴 前歯のガタガタが気になる
治療内容 左上の前歯が舌側に生えてきており、上下前歯に叢生が認められたため、固定式の矯正装置(リンガルアーチ)、前歯に固定式ワイヤー装置を用いて治療した。
治療期間・回数の目安 5年3ヶ月
治療費 500,000円
リスク ・治療中は発音しにくい場合があります
・矯正中、舌が動かしにくいことがあります
・治療中、装置によってまれに頬の内側が傷つき、口内炎になることがあります
・歯の移動に伴って違和感や痛みを感じる場合があります
・冷たいものを飲んだときに歯がしみる「知覚過敏」の症状が出る場合があります